Metastatic Invasive Ductal Carcinoma: Understanding Advanced Breast Cancer

B.Addax 85 views
Metastatic Invasive Ductal Carcinoma: Understanding Advanced Breast Cancer

Metastatic Invasive Ductal Carcinoma: Understanding Advanced Breast Cancer

Hey everyone, let’s dive deep into a topic that’s super important but can feel a bit heavy: Metastatic Invasive Ductal Carcinoma (IDC) . When we talk about breast cancer, this is one of the more common forms, and when it reaches the metastatic stage, it means the cancer has spread beyond the breast and nearby lymph nodes to other parts of the body. It’s a complex journey, and understanding it is the first step in navigating it. We’re going to break down what IDC is, what ‘metastatic’ really means in this context, and what this diagnosis signifies for patients. It’s crucial to get this information out there because knowledge is power, and empowering ourselves and our loved ones with accurate information can make a world of difference in how we approach treatment and life. We’ll be covering the nuances of this advanced stage, touching upon common sites of metastasis, the challenges involved, and importantly, the hopeful advancements in treatment and support available today. So grab a cup of tea, get comfy, and let’s get into it.

What Exactly is Invasive Ductal Carcinoma?

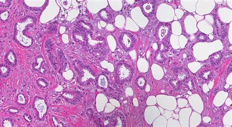
So, first things first, what is Invasive Ductal Carcinoma (IDC) ? Think of it as the most common type of breast cancer, guys. It starts in the milk ducts of the breast – those little tubes that carry milk to the nipple. The key word here is ‘invasive’ . This means the cancer cells have broken out of the duct and started to invade the surrounding breast tissue. Unlike ‘in situ’ cancers (like DCIS, which stands for Ductal Carcinoma in Situ), which are contained within the duct and haven’t spread, IDC has the potential to travel. And when we say travel, we mean through the bloodstream or the lymphatic system. This invasiveness is what allows it to potentially spread to other parts of the body, making it a more serious diagnosis. It often feels like a lump, but not always. It can be detected through mammograms and other imaging tests. The cells themselves, under a microscope, look like they’ve escaped their original confines and are growing into new territory. It’s pretty wild to think about, but understanding this basic mechanism is foundational to grasping the whole picture of breast cancer progression. Most breast cancers diagnosed are IDC, so even though it’s common, it’s still a big deal and warrants serious attention and comprehensive care. The histology, or the study of the tissues, plays a massive role in confirming IDC and determining its grade, which gives us clues about how aggressive the cancer might be and how quickly it might grow and spread. This detailed examination is a critical part of the diagnostic process, ensuring the right treatment plan is put into action from the get-go.

Understanding the ‘Metastatic’ Stage

Now, let’s talk about the term ‘metastatic’ . When a diagnosis includes ‘metastatic’, it means the cancer isn’t just confined to the breast anymore. It has spread, or metastasized , to distant parts of the body. For breast cancer, common sites for metastasis include the bones, lungs, liver, and brain. Imagine cancer cells breaking away from the original tumor in the breast, entering the bloodstream or lymphatic system, and then settling down to form new tumors in these distant organs. This is what makes metastatic breast cancer so challenging. While the cancer may have originated in the breast, the cells found in the lungs or bones are still considered breast cancer cells (specifically, metastatic IDC). They aren’t lung cancer or bone cancer; they’re breast cancer that has taken up residence elsewhere. This is a crucial distinction because the treatment strategy targets the type of cancer cell, not necessarily the location of the new tumor. So, if IDC has spread to the bones, doctors will treat it with therapies designed for IDC, not for primary bone cancer. The stage of cancer is often described using a numbering system, with Stage IV being the metastatic stage. It signifies that the cancer has spread beyond the regional lymph nodes to distant sites. This doesn’t mean it’s untreatable, but it does mean the treatment goals often shift. While a cure might not always be achievable, the focus is typically on managing the disease, controlling its growth, prolonging life, and maintaining the best possible quality of life for the patient. This shift in focus requires a different approach to treatment and a strong support system for the individual and their family. It’s a significant change in the cancer’s journey and requires a multifaceted approach to care.

What Metastatic IDC Means for Patients

Receiving a diagnosis of metastatic invasive ductal carcinoma is undeniably life-altering. It’s a serious diagnosis, and it’s completely okay to feel overwhelmed, scared, or even angry. For patients, this means the cancer has spread, and the treatment approach will often be different from that of early-stage breast cancer. The primary goals of treatment for metastatic IDC usually shift from aiming for a complete cure to managing the disease as a chronic condition. This involves controlling the cancer’s growth, alleviating symptoms, and improving or maintaining the patient’s quality of life for as long as possible. It’s about living with the cancer, rather than necessarily trying to eradicate it completely. This doesn’t mean giving up hope; far from it! Modern medicine has made incredible strides in managing metastatic breast cancer , offering patients more time and better quality of life than ever before. Treatment options are highly personalized and depend on various factors, including the specific characteristics of the cancer (like hormone receptor status and HER2 status), the location and extent of metastasis, the patient’s overall health, and their preferences. It’s a collaborative effort between the patient and their medical team to develop the most effective strategy. Side effects from treatment are a significant consideration, and managing them is a key part of the care plan. Open communication with your healthcare providers is absolutely vital. Don’t hesitate to voice your concerns, ask questions, and discuss any symptoms you’re experiencing. Your medical team is there to support you through every step of this journey, providing not just medical treatment but also emotional and psychological support. Remember, you are not alone in this, and there are many resources and communities available to help you navigate this challenging path.

Common Sites of Metastasis

When IDC becomes metastatic, it has a tendency to travel to specific parts of the body. Understanding these common sites can help patients and their families be aware of potential symptoms and what to expect. The most frequent destinations for breast cancer metastasis are:

  • Bones: This is perhaps the most common site. Cancer spreading to the bones can cause pain, and in some cases, fractures. It can also lead to high calcium levels in the blood (hypercalcemia), which can cause nausea, fatigue, and confusion. Doctors often use treatments like bisphosphonates or other bone-targeting therapies to strengthen bones and manage pain.
  • Lungs: Metastasis to the lungs can lead to symptoms like persistent cough, shortness of breath, and chest pain. These symptoms can sometimes be mistaken for other respiratory issues, highlighting the importance of thorough medical evaluation.
  • Liver: When cancer spreads to the liver, it can cause jaundice (yellowing of the skin and eyes), abdominal pain or swelling, nausea, and loss of appetite. Liver function tests can help detect involvement.
  • Brain: Brain metastases can manifest in various ways, including headaches, seizures, blurred vision, dizziness, and changes in personality or behavior. Diagnosis often involves brain imaging like MRIs or CT scans, and treatment can include radiation therapy, surgery, or targeted medications.

It’s important to remember that not everyone with metastatic IDC will experience spread to all, or even any, of these sites. The pattern of metastasis can vary greatly from person to person. Regular check-ups and communication with your healthcare team are essential for monitoring any changes and addressing potential symptoms early on. Early detection of metastases, even in the advanced stage, can significantly impact treatment effectiveness and patient outcomes. So, staying vigilant and proactive about your health is key, even when facing such a serious diagnosis. The medical community is constantly researching why cancer spreads to certain areas more than others, and this knowledge is crucial for developing more targeted therapies.

Treating metastatic invasive ductal carcinoma is a multifaceted journey, and the landscape of options is constantly evolving. The primary goal, as we’ve touched upon, is typically disease management, aiming to control cancer growth, alleviate symptoms, and maintain a good quality of life. The treatment plan is highly individualized, taking into account the unique biological characteristics of the tumor and the patient’s overall health. Here are some of the key treatment modalities you might encounter:

  • Systemic Therapies: These are treatments that travel throughout the body to kill cancer cells. They are the cornerstone of treating metastatic disease. These include:
    • Hormone Therapy (Endocrine Therapy): If the IDC is hormone receptor-positive (ER-positive or PR-positive), meaning the cancer cells have receptors that fuel their growth with estrogen or progesterone, hormone therapy can be very effective. This involves medications that block these hormones or lower their levels. Examples include tamoxifen, aromatase inhibitors (like letrozole, anastrozole, and exemestane), and fulvestrant.
    • Chemotherapy: Chemotherapy drugs work by killing rapidly dividing cells, including cancer cells. They are often used when hormone therapy is not effective, or for cancers that are hormone receptor-negative or HER2-positive. There are many different chemotherapy agents, and they are often used in combination.
    • Targeted Therapy: These drugs specifically target certain molecules or pathways involved in cancer growth. For example, HER2-targeted therapies (like trastuzumab, pertuzumab, and T-DM1) are crucial for HER2-positive breast cancer. CDK4/6 inhibitors (like palbociclib, ribociclib, and abemaciclib) are often used in combination with hormone therapy for hormone receptor-positive, HER2-negative metastatic breast cancer, and have significantly improved outcomes.
    • Immunotherapy: This approach harnesses the body’s own immune system to fight cancer. Checkpoint inhibitors, such as pembrolizumab, have shown promise, particularly for certain subtypes of metastatic breast cancer, often in combination with chemotherapy.
  • Local Treatments: While systemic therapies address cancer throughout the body, local treatments focus on specific areas:
    • Radiation Therapy: Used to relieve pain from bone metastases, shrink tumors that are causing problems (like blocking airways), or treat brain metastases.
    • Surgery: Surgery is less common for primary treatment in the metastatic setting but might be used to remove a problematic tumor or metastasis causing severe symptoms.
  • Palliative Care and Supportive Care: This isn’t about ‘giving up’; it’s about optimizing quality of life. Palliative care specialists focus on managing symptoms like pain, nausea, fatigue, and emotional distress. They work alongside the oncology team to ensure the patient is as comfortable as possible throughout their treatment journey. This is an integral part of care, not an afterthought.

Clinical trials are also a vital avenue for many patients, offering access to cutting-edge treatments that are still under investigation. It’s essential to have open and honest conversations with your oncologist about all available options, including the potential benefits, risks, and side effects of each treatment. Remember, the goal is a personalized plan that best suits your individual needs and circumstances. You are an active participant in your care!

The Importance of Support and Research

Facing metastatic invasive ductal carcinoma can feel incredibly isolating, but you are definitely not alone. The journey is immensely challenging, not just physically but emotionally and psychologically too. This is where the power of support systems comes into play. Connecting with other patients who understand what you’re going through can be invaluable. Support groups, whether online or in-person, offer a safe space to share experiences, exchange coping strategies, and find a sense of community. Family and friends are also a crucial pillar of support, providing practical help, emotional comfort, and a listening ear. Don’t hesitate to lean on them and let them know what you need. Beyond personal support networks, there are numerous organizations dedicated to breast cancer awareness, patient advocacy, and support services that can offer resources, information, and assistance.

Equally important is the relentless pursuit of research and innovation . The advancements we’ve seen in treating metastatic breast cancer over the past decade are nothing short of remarkable, offering renewed hope and significantly extending survival and improving quality of life for many. Researchers are tirelessly working to understand the complex mechanisms of metastasis, identify new drug targets, develop more effective and less toxic treatments, and discover ways to overcome treatment resistance. Areas like liquid biopsies (blood tests to detect cancer DNA), advanced imaging techniques, novel drug combinations, and personalized medicine approaches are pushing the boundaries of what’s possible. Clinical trials play a critical role in bringing these new discoveries from the lab to the patient bedside. Participating in a clinical trial can provide access to potentially life-saving treatments. It’s this ongoing commitment to research that fuels the progress and offers the most significant hope for the future of metastatic breast cancer care. Supporting cancer research, whether through donations, advocacy, or raising awareness, is a vital part of the collective effort to make a difference. Every bit of progress counts, and together, we can move closer to better outcomes and, ultimately, cures.

Disclaimer: This article is intended for informational purposes only and does not constitute medical advice. Always consult with a qualified healthcare professional for any health concerns or before making any decisions related to your health or treatment.